新着情報|国分寺の歯医者|こばやし歯科医院|歯周病専門医在籍|

  • 国分寺駅北口徒歩2分
  • 全ユニット完全個室
  • 平日18時・土曜診療

診療時間9:00~12:00 / 14:00~18:00休診日:日・祝

国分寺で唯一の
「歯周病専門医」

TEL 042-400-2004【診療時間】
9:00 - 12:00 14:00 - 18:00
【休診日】
日曜・祝日

WEB予約

Instagram Instagram

新着情報

  • TOP
  • 新着情報

歯周病の検査について

2025.08.14ブログ

マイクロスコープ(歯科用顕微鏡)について

2025.07.29ブログ

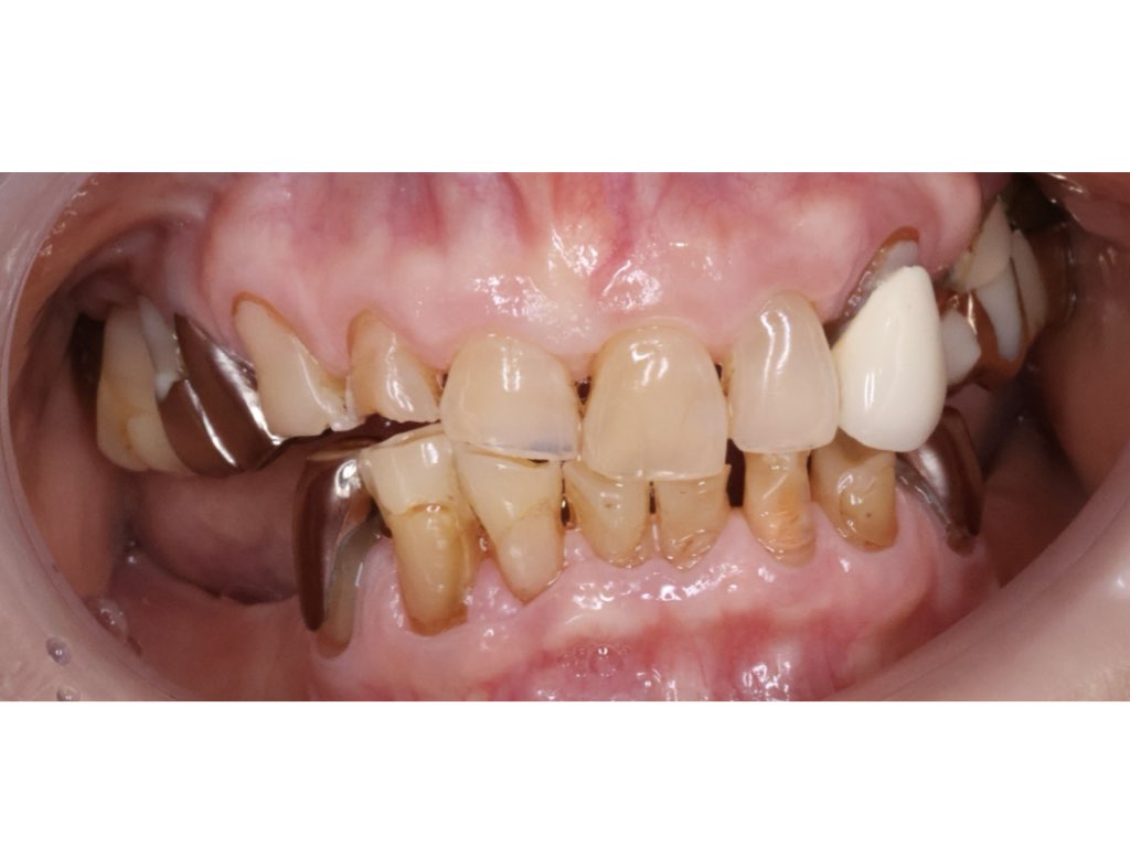
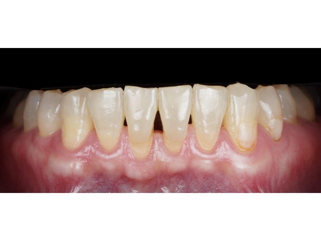
症例 歯周基本治療

2025.07.26症例

専門医って何?

2025.07.18ブログ

歯周病の原因は?

2024.07.17ブログ

オーダーメイドの予防歯科治療

2025.07.03ブログ

予防歯科について

2025.06.26ブログ

歯周病のサイン

2025.06.17ブログ

インプラントと天然歯の違い

2025.06.12ブログ

© 2024 国分寺の歯医者|こばやし歯科医院|
歯周病専門医在籍|国分寺駅北口徒歩2分