新着情報
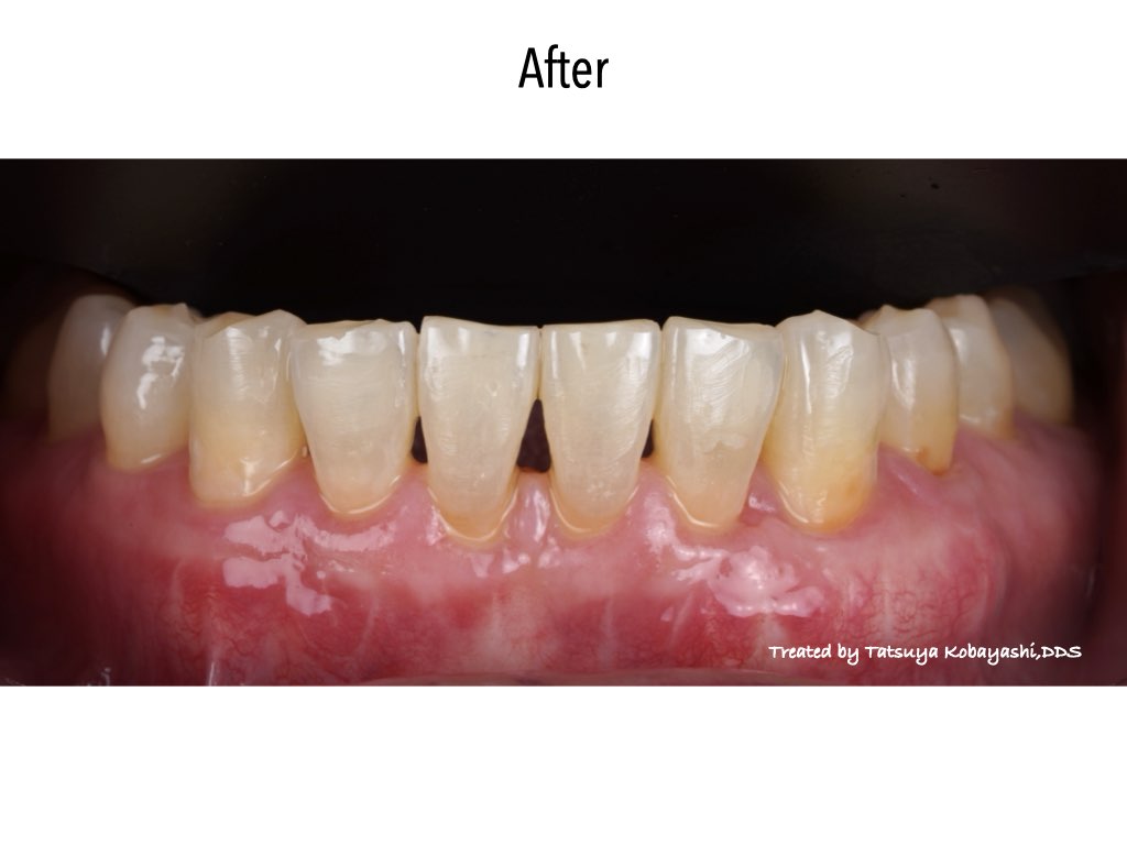
症例 根面被覆術

| 主訴 | 歯茎下がりが気になる |
|---|---|
| 治療内容 | 下顎10本 根面被覆術 |
| 治療期間 | 1日 |
| 治療費(税込) | 308,000円 |
| リスク・副作用 | ・手術が必要になる ・歯肉が生着しない場合がある ・知覚過敏が起こる可能性がある |
監修者情報

こばやし歯科医院
〒185-0012
東京都国分寺市本町2-9-21
Tel:042-400-2004
院長 小林 達也
| 経歴 | 日本歯科大学新潟生命歯学部 卒業 日本歯科大学新潟生命歯学部 臨床研修 医療法人社団幸誠会たぼ歯科医院 勤務 国家公務員共済組合連合会立川病院 歯科口腔外科 非常勤勤務 こばやし歯科医院 開院 |
|---|---|
| 資格 | 日本歯周病学会 専門医 臨床研修指導医 |


