TEL 042-400-2004【診療時間】
9:00 - 12:00 14:00 - 18:00
【休診日】
日曜・祝日

WEB予約

Instagram Instagram

新着情報

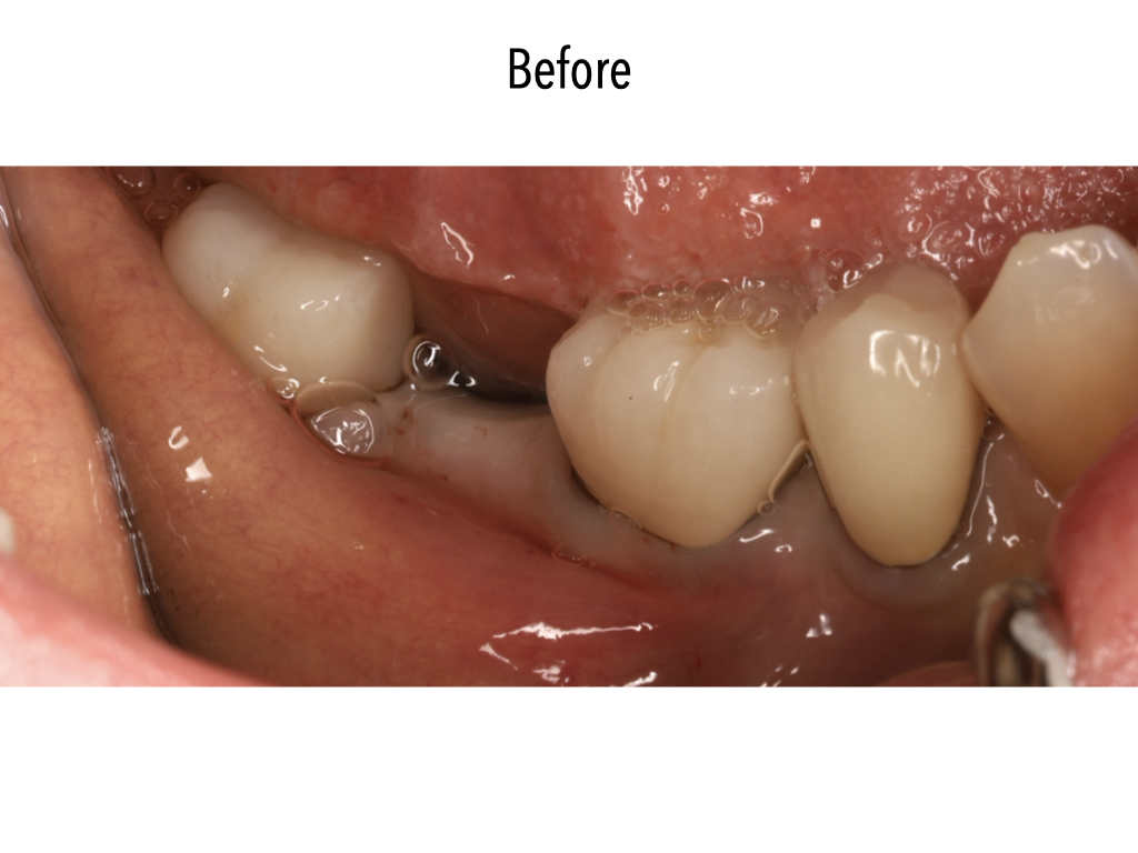
症例 インプラント治療

歯がに部分にインプラントを行う、欠損補綴(けっそんほてつ)治療です。

主訴 奥歯で噛めるようになりたい。
治療内容 臼歯部1本 インプラント治療
治療期間 5ヶ月
治療費(税込) 616,000円
リスク・副作用 ・インプラントを行った後、しっかりと定期検診を行わないとインプラント周囲円になる可能性があります。 ・手術が必要になります。

監修者情報

こばやし歯科医院
〒185-0012
東京都国分寺市本町2-9-21
Tel:042-400-2004

院長 小林 達也

経歴 日本歯科大学新潟生命歯学部 卒業

日本歯科大学新潟生命歯学部 臨床研修

医療法人社団幸誠会たぼ歯科医院 勤務

国家公務員共済組合連合会立川病院 歯科口腔外科 非常勤勤務

こばやし歯科医院 開院
資格 日本歯周病学会 専門医
臨床研修指導医

© 2024 国分寺の歯医者|こばやし歯科医院|
歯周病専門医在籍|国分寺駅北口徒歩2分